Alberti Odontologia

Odontologia preventiva e definitiva, a saúde e a beleza começam pelo seu sorriso!

Nosso principal objetivo é oferecer um atendimento de experiência com ética e profissionalismo num ambiente onde saúde bucal pode proporcionar melhor qualidade de vida e bem-estar para todos os pacientes.

Venha nos fazer uma visita e conhecer o nosso consultório!
"Saúde e beleza se unem para proporcionar melhor qualidade
de vida e bem-estar para todos".

Dr. Charles Jourdan Alberti - Implantodontista - CROSP 91870
Formação acadêmica:
Universidade Paulista - Cirurgião Dentista formado pelo Curso de Odontologia da UNIP - Campus Bacelar (1998 a 2003)
Especialista em Implantodontia - Faculdade Sarandi - Unidade Belém - SP (2007 a 2009)
Mestrando no Curso de Ciências e Tecnologia Aplicado na Odontologia - UNESP - São José dos Campos

Especialidades atendidas no consultório:
Implantodontia, Endodontia, Cirurgia Oral, Prótese dental, Coroas, Estética, Odontogeriatria, Clareamento Dental a Laser, Tratamentos de Harmonização Facial, Bichectomia, Preenchimento labial, Lipo de papada, Ácido hilaruônico.
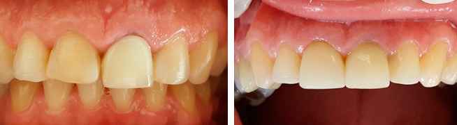
Dentro das especialidades vale destacar a experiência em execução nos procedimentos de lentes de contato e facetas.
Também grande experiência com cirurgias de implante do tipo protocolo e casos de carga imediata (desde que realmente indicado para o caso).

Diferenciais:
Tratamento de canal sessão única, com instrumentação rotatória e localizador apical (sistema atualizado de tratamento que visa maior conforto do paciente, menor chance de dores pós tratamento e diminuição do tempo de tratamento necessário).
Atendimento em horários especiais/alternativos e casos de spa odontológico (baseado em agendamento e discussão do caso e seus respectivos custos).
Atendimento diferenciado para casos especiais onde o período fica restrito apenas ao cliente. Útil para caso de cirurgias mais complexas ou casos em que o paciente prefere resolver seu tratamento em um horário maior, reduzindo assim o número de tratamento.
Atendimento a pacientes estrangeiros que falam a língua inglesa ou espanhol.
Planejamento e execução de próteses, lentes de contato, facetas e outros procedimentos com auxílio de planejamentos digital e fotográfico, e desde que possível com tempo de trabalho especial. Útil para pessoas que estejam na cidade por pouco tempo ou que por algum motivo prefiram o tratamento diferenciado em menor tempo. Clínica em funcionamento há mais de 7 anos no mesmo local e com estacionamento. Bem localizada entre os bairros do Brooklin, Campo Belo, Chácara Santo Antonio. E a poucos quilômetros de distância de Moema e Morumbi.

Dr. Charles Jourdan Alberti
CROSP 91870
Lentes de Contato
Implantodontia
Endodontia
Cirurgia Oral
Prótese dentária
Bichectomia
Coroas
Preenc.labial
Lipo de papada
Odontogeriatria
Prótese dental
Rinomodelação


Tratamentos de Harmonizacao Facial


✔ Bichectomia - cirurgia estética de retirada da bola de gordura que fica na bochecha;
✔ Preenchimento Labial - alteração de volume labial;
✔ Lipo de papada - Aplicação de ácido deoxicólico para remoção de papada;
✔ Ácido hilaruônico - Rinomodelação.


Tratamentos convencionais


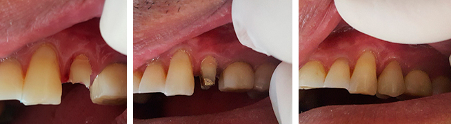
✔ Endodontia - Tratamento de Canal com sessão única e com equipamentos atualizados talvez imagem de aparelho;
✔ Cirugia Oral - Dentes do Siso Inclusos;
✔ Implantodontia - Casos unitários e múltiplos, Próteses do tipo Protocolo de Branemark, Enxertos Ósseos.


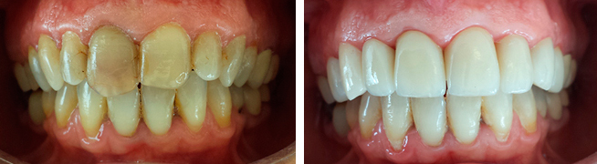
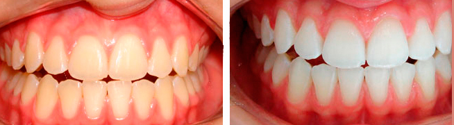
Dentística


✔ Protese Dental - Coroas unitárias, Pontes fixas, Dentaduras, Próteses Parciais e Próteses Provisórias;
✔ Odontogeriatria - Tratamento especial e personalizado para pacientes da terceira idade. Com foco em reabilitação oral.


Nosso consultório, com sede própria, está localizado no Edifício JBG à Rua Joaquim Nabuco, n. 47 conj. 95, no bairro do Brooklin Paulista, São Paulo SP.
O local possui sistema completo de segurança, com identificação na entrada e câmeras instaladas por todo o prédio.
Fácil acesso às regiões de Santo Amaro, Alto da Boa Vista, Morumbi, Chácara Santo Antonio, Campo Belo, Moema, Brooklin Novo, Cidade Monções, Itaim, Vila Olímpia.

Espaço | Consultório



Dentista no Brooklin
Consultório
Endodontista no Brooklin
Consultório
Prótese dentária
Consultório
Preenchimento labial
Consultório

Nossos Serviços

Lipo de papada

Lente de Contato Dental



Entre em contato
Bichectomia

Estética Dental



Entre em contato
Botox

Reabilitação Oral



Entre em contato

consultório dentário no brooklin

Caso 1


odontogeriatria

Caso 2


Rinomodelação

Caso 3


Endodontia no Brooklin

Caso 4


Harmonização facial

Caso 5


consultório dentário no brooklin

Caso 6


Bichectomia

Caso 7


consultório dentário no brooklin

Caso 8


consultório dentário no brooklin

Caso 9


Preencimento labial

Caso 10



Contato e Localização

Entre em Contato

Rua Joaquim Nabuco 47 conj. 95- Brooklin Paulista- SP
Travessa da Av. Santo Amaro
contato@albertiodontologia.com.br
(11) 97998-1079